woman trying in veneers

Porcelain Veneers

Do chipped, stained, misshapen, or slightly misaligned teeth make you feel self-conscious when speaking, smiling, or laughing?

Dr. Stephen J. Malki can place porcelain veneers to hide these imperfections and improve the appearance of your smile.

At Malki Dental in River Edge, NJ, we have helped hundreds of patients achieve a beautiful and natural-looking smile with veneers.

Dental veneers are ceramic shells that are placed over the front surfaces of the teeth in order to mask aesthetic flaws. This cosmetic dentistry treatment is designed to enhance the appearance of your smile. 

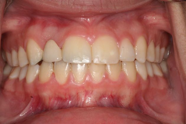
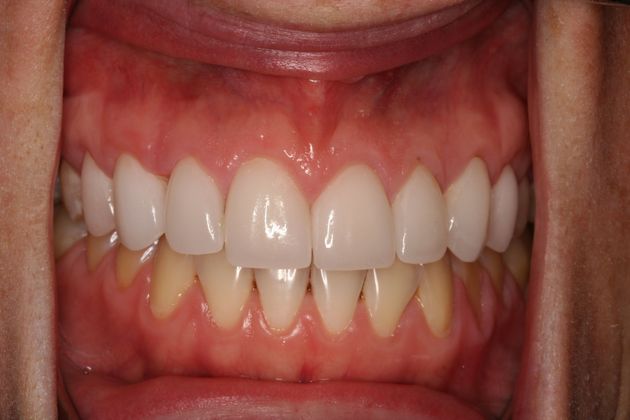
We Can Give You a Beautiful Smile Veneers Before and After Photos

We are proud to feature several before and after cases of patients who have undergone the dental veneers treatment process at our River Edge dentistry office. Here is just one of the many examples of the excellent outcomes we have achieved.
before veneers
Before
after veneers
After
Dr. Malki helped this patient achieve a brighter, straighter, and overall more attractive smile with high-quality custom dental veneers.

A Stunning Smile in Two Appointments

If you want to address small imperfections in your smile, veneers may be right for you. Our River Edge dentist, Stephen J. Malki, can enhance the shape, form, and color of your smile by placing veneers over the front surfaces of chipped, misshapen, or discolored teeth. Veneers can dramatically transform your smile and help you feel more confident in just two appointments.

Patients Appreciate Our River Edge Team

1

Eric Santoli

River Edge, NJ

2023

Google logo

I've been a patient of Dr. Malki's office for many years now and they're the only dentists that I trust. As with many people, I am scared of the dentist, but I always feel safe with Dr. Malki and his team. I like getting cleanings from Ana and the other hygienists are great too. Dr. Malki never pushes for unnecessary procedures. I think some dentists enjoy pointing out your flaws, but I'm just a human and I'm not perfect. Thank you Dr. Malki.

View on Google
1

Sarah Satel

River Edge, NJ

2023

Google logo

Over the last few years, I have had a few issues with one tooth that was badly broken when I was very young. After trying to temporarily fix the problem for months, Dr. Malki and his team decided on a different course of treatment to solve the issue for a longer period. It was their kindness and gentleness that helped make this process so easy. If I could give more than 5 stars, I would.

View on Google

Benefits of Porcelain Veneers

Multiple Cosmetic Uses

Dental veneers are perhaps the most versatile of all cosmetic dentistry treatments. They enable dentists to alter the shape, size, or color of the teeth, meaning that they can address virtually any aesthetic issue that affects the anterior teeth (the teeth that show more prominently when you smile).

Minor Adjustments or Dramatic Transformations

Veneers can be placed on a single tooth or multiple teeth to close small gaps or revamp an entire smile. They are often placed on a single tooth that is affected by chips, stains, or other cosmetic issues. For those suffering from multiple aesthetic issues, your dentist can place dental veneers on all the front-facing upper and lower teeth.

Natural-Looking Appearance

Our porcelain veneers are indistinguishable from natural teeth, so they blend in beautifully and look natural. In fact, most people can't even tell that you have veneers. The only way that people will know is if you tell them, or if close family and friends notice the dramatic improvement in the appearance of your smile.

Long-Lasting

Because they are made of a durable and high-quality porcelain material, dental veneers are a cosmetic dentistry treatment that offers long-lasting results. With proper care and routine visits to the dentist, patients can enjoy the benefits of their veneers for up to 15 years. Once they begin to wear, it is time to consider replacement.

Candidates

If you feel uncomfortable showing off your teeth due to cosmetic imperfections, veneers could be the solution. The primary reason that patients choose this treatment is to address:

  • A chipped or cracked tooth
  • Tooth stains
  • Small gaps between the teeth
  • Minor tooth misalignment
  • Misshapen or small teeth

Paying for Dental Veneers

Many patients want to get veneers but concerns about the cost of treatment may keep them from scheduling an appointment with a dentist to get a quote. Here, we discuss common questions patients have about porcelain veneer costs and payment options:

Cost

The cost of treatment can vary considerably from patient to patient. The number of veneers placed, the need for any preparatory treatment, and other factors contribute to the overall price. For example, the cost of a single veneer for one tooth is far less than a full set of veneers.

Insurance

Many patients want to know if their insurance provider will cover the cost of treatment. Unfortunately, the answer is "no." Dental insurance doesn't cover the cost of cosmetic dentistry treatments such as the placement of porcelain veneers or teeth whitening.

Financing

The good news is that we do accept financing through CareCredit®. Rather than paying for the entire cost of treatment upfront, patients can apply for a financing plan that allows them to pay off the cost of treatment in affordable monthly installments. We'll help you explore this option during your office visit.

Contact Our River Edge Dental Practice for a Veneers Quote

To find out how much porcelain veneers will cost in your case, contact Malki Dental today. We serve patients from River Edge, Paramus, and other areas of Bergen County, NJ. You can request a consultation online or by phone:

More Stunning Veneers Results

before veneers
Before
after veneers
After

Veneers Treatment Timeline

Patients who visit our River Edge, NJ, dentistry practice can have porcelain veneers fitted and placed in two convenient office visits.

Some patients may wish to undergo teeth whitening before having veneers placed to further enhance their results.
 
Some patients may wish to undergo teeth whitening before having veneers placed to further enhance their results.
 

Exam

The first visit is an opportunity for patients to discuss their cosmetic goals. Dr. Malki will perform a thorough examination of your oral health, which may include digital X-rays. If dental problems such as cavities or gum disease are present, Dr. Malki can treat them first. If patients don't have sufficient enamel, they may be better candidates for another treatment, such as dental crowns.

Tooth Preparation

To begin treatment, Dr. Malki will remove a small amount of tooth enamel to prepare the teeth for the placement of veneers. Reducing enamel allows your veneer to lay flush with surrounding teeth and avoid looking bulky or artificial.

Impressions

Dr. Malki will take custom impressions of your teeth using traditional methods, digital technology, or a combination of both. Our goal is to have the most precise impression possible so we can design and craft veneers that look like an enhanced version of your natural teeth.

Temporary Veneers

Patients will be fitted with temporary restorations to protect the teeth from sensitivity and damage while the veneers are being crafted. 

Fabrication

Your impressions and Dr. Malki's design specifications will be sent to a dental lab and referenced during the fabrication of your custom veneers. The veneers will be crafted out of a solid block of porcelain, and the entire process takes about two weeks.

Custom Veneer Placement

When patients return to our River Edge office, Dr. Malki firmly bonds the veneers to the surface of the teeth using special cement, ensuring a secure and comfortable fit. Patients leave our office with a dramatically improved smile.

Another 5-Star Google Review

"Outstanding dentist, best dentist I have found in all of my life. Super professional, excellent attention to detail!!"
Adam Andrew

Interested in a Total Smile Transformation? Contact Us Today to Get Started

While gorgeous porcelain veneers can help you achieve incredible results on their own, they can also be just one step in your journey to a brand-new smile. Work closely with Dr. Malki to create a fully customized smile makeover treatment plan that can give you the smile you've always envisioned.

To learn more about veneers and other types of cosmetic dentistry that can fit into your smile makeover, contact our River Edge, NJ, practice online or by calling: 

(201) 646-0800

Photo of front desk

Stellar Reviews From Bergen County Patients

1

Jose Y

River Edge, NJ

2023

Google logo

Amazing work, I chipped my tooth so James did some work to fill it in. He did an amazing job, I don’t even see it when I look at myself in mirror, I’m back to normal!! Thank you so much!!!

View on Google
1

Sonja DuBois

River Edge, NJ

2023

Google logo

Great dentist

View on Google

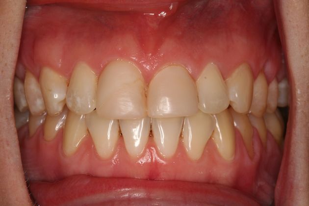
Another Successful Transformation With Porcelain Veneers

Close up of teeth
Before
Close up of teeth
After
This patient wanted a solution for their yellowed teeth. We used porcelain veneers and some periodontal cleaning to give them a beautiful-looking smile.

Veneers FAQ

How long do veneers last?

Veneers can last as long as 15 years with proper care. This requires maintaining good oral hygiene habits such as flossing and brushing and avoiding bad habits such as using your teeth as tools or biting your fingernails, which can result in premature wear or even cause the veneers to become dislodged.

How do I clean my veneers?

Cleaning your veneers is similar to caring for your natural teeth. Brush twice a day and floss once a day. See the dentist every six months so the health of your mouth and condition of your veneers can be monitored. To keep your veneers looking new for as long as possible, use a soft-bristled toothbrush and gentle, non-abrasive toothpaste. Gels are typically a good choice.

Are porcelain veneers reversible?

While the veneers themselves will eventually need to be replaced, patients must commit to always having veneers on their teeth due to the removal of enamel. When your veneers begin to show signs of wear, become dislodged, or fall off, it is time to seek porcelain veneers replacement treatment.

I'm not sure I want veneers. Is there some way to test them out before I commit?

We provide mockup veneers at the beginning of every treatment to make sure your veneers will look the way you want. But if you want a longer-term trial run, you should consider dental bonding, a procedure that uses tooth-colored resin to hide dental imperfections. Bonding is a faster, more affordable, and totally reversible treatment that provides an effect similar to veneers. However, resin cannot be made to look as realistic as porcelain. If you decide to undergo bonding and like the results enough to pursue a more premium option, we can replace the resin with a custom porcelain veneer.

We Come Highly Recommended

1

Aishling Turek

River Edge, NJ

2023

Google logo

Highly recommend. So sweet, understanding, fit me in right away for an emergency visit. Staff is amazing. So happy with everything.

View on Google
1

Abigail Vigneron

River Edge, NJ

2023

Google logo

Doctor Amir and Dr Malki are both amazing professional and efficient!

View on Google
Dr. Malki

Malki Dental

Dr. Stephen Malki is a dentist who believes a smile is one of the most important means of expression. His prestigious distinctions in his field include:

  • Diplomate of the American Board of Oral Implantologists (ABOI)
  • Fellow of the American Academy of Implant Dentistry (AAID)
  • Diplomate of the International Congress of Oral Implantologists (ICOI)
  • Master of the Misch International Implant Institute
  • Fellow of the Academy of General Dentistry

To book your consultation, please send us a message online or call us today at (201) 646-0800.

Contact Us Today

"Dr. Stephen J. Malki is very gentle and caring. He makes you feel comfortable and does everything he can to ensure that you have a pleasant experience. As soon as you meet him you can see how much he cares for his patients."

Rate, Review & Explore

Social Accounts Sprite