Please download our patient forms and complete them prior to your visit.
Welcome to Malki Dental
Proudly serving River Edge, NJ, Paramus, and other areas throughout Bergen County since 1999, Malki Dental has a reputation rooted in professional, courteous care, and exceptional results. As a premier dental implants and family dentistry provider, we are pleased to offer advanced dental treatments for patients of all ages. We are passionate about helping members of our community achieve and maintain beautiful, healthy smiles throughout every stage of their lives.
If you are looking for a qualified team of professionals to provide complete dental care, we invite you to explore all that Malki Dental and our dentist, Stephen Malki, have to offer our New Jersey patients.
Restoring Patients' Confidence
"Outstanding dentist, best dentist I have found in all of my life. Super professional, excellent attention to detail!!"
Adam Andrew
Become a Part of Our Dental Family Schedule Your Consultation Today
Many practices in the state of New Jersey provide high-quality, yet limited services. Malki Dental offers comprehensive dental care performed by professionals with exceptional training using today's most sophisticated technology. Search no further than our office for any dentistry services, including simple cleanings and complex restorative work.
Because you and your loved ones are entitled to beautiful smiles and exceptional oral health, you deserve a practice like Malki Dental. We can help keep you and the ones who matter most to you smiling.
To schedule an appointment at our Bergen County dental office, we invite you to contact us online or call:
(201) 646-0800
Dr. Stephen J. Malki Meet the Dentist
A graduate of the University of Medicine and Dentistry of New Jersey, Dr. Stephen J. Malki completed his education right here in the Garden State before opening the doors to his Bergen County dental practice. Dr. Malki has earned the trust and respect of his patients by delivering personalized care and outstanding results. His dedication to continuing education allows him to employ the latest and most effective techniques in all of his treatments. As a fellow of the Academy of General Dentistry and a Master of the Misch International Implant Institute, Dr. Malki is a skilled professional who can successfully handle even the most complex dental cases right here in Bergen County, New Jersey. We often see patients from River Edge, Paramus, and surrounding areas.
Dr. Stephen J. Malki Is Proudly Affiliated With
Types of Dentistry We Offer
General Dentistry
Our dentist strives to provide our community with the finest care available. Whatever your dental needs, our team of compassionate professionals can help you enjoy the benefits of a healthy smile. There is a direct link between your oral health and your overall health. Consequently, regular visits to our Bergen County dentist can help support your well-being.
Our team understands how busy your schedule is, which is why we provide prompt service that starts at your appointment time. This allows you to minimize the time you spend in the dentist's chair so you can get back to taking care of business. Our comprehensive dental office also allows you to receive all of the care you need under one roof. Dr. Malki can identify issues early so that you can take care of them before they turn into more expensive dental problems.
Family Dentistry
Our dental health needs change throughout our lives. Kids, adults, and seniors all need unique care that caters to unique challenges that occur due to development, lifestyle, medications, and other factors. Dr. Malki understands these needs and is equipped to meet the needs of your entire family under one roof.
Another important advantage of having a single dentist who can treat your entire family is that many oral health conditions have genetic factors. By treating every member of your family at one practice, Dr. Malki can gain a deeper understanding of your loved ones' health needs in order to help everyone–from the youngest to the most senior members of the family–achieve and maintain impeccable oral health.
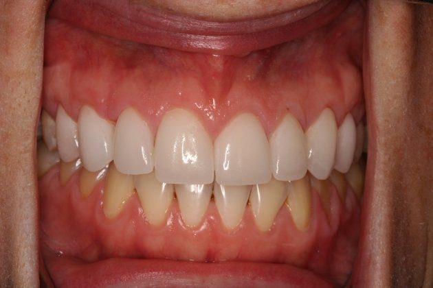
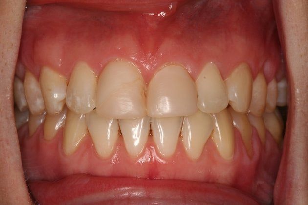
Cosmetic Dentistry
It only takes one unattractive feature to tarnish an otherwise beautiful smile. Whether that means a stained or cracked tooth or a number of crooked teeth, the good news is that cosmetic dentistry can help. Patients that visit our Bergen County dental practice can take advantage of a number of cosmetic dentistry treatment options. Our dentist can design a custom treatment plan to help you reach your goals.
To address problems that may leave your smile looking unhealthy, our dentist can provide cosmetic treatments such as professional teeth whitening and veneers. For those with crooked teeth, Malki Dental offers the discreet and comfortable Invisalign® clear aligner system. Compared to traditional metal braces, Invisalign is nearly undetectable and doesn't impose any diet or dental hygiene restrictions. Cosmetic dentistry offers flexible treatment options to help you achieve a beautiful smile.
Restorative Dentistry
If the health and function of your smile is causing you discomfort, restorative dentistry can provide you with relief. Damaged and missing teeth can lead to painful symptoms that can make everyday tasks a chore. Restorative dentistry can rebuild your smile by treating unhealthy teeth and gums. Our dentist office provides New Jersey with state-of-the-art restorative dentistry procedures.
Restorative procedures such as root canal therapy can save a natural tooth, preventing the need for extraction. If a tooth cannot be saved, dental implants can help fill the gap and stop the jawbone loss that accompanies a missing tooth. If you suffer from widespread tooth loss, All-on-4 dental implants can provide a stable, lifelike arch of teeth. Whatever your dental needs, Malki Dental has you covered.
Request a Consultation With Our Dentist
Your smile matters. It's not just about first impressions and looking amazing in photos; it's also about your health. In fact, oral health issues such as gum disease can raise your risk of many serious health conditions, including stroke and heart attack.
Dr. Malki is the kind of dentist who can help you experience the exciting benefits of outstanding oral health as well as a smile that exudes confidence and charisma. If you are new to Paramus, River Edge, or anywhere in or near Bergen County, or if you need to find a dentist who can provide you and your loved ones with the ongoing dental care you need, your search ends here; Dr. Malki and his friendly staff can accommodate all your needs with world-class dental care. From cleanings to complex restorative dentistry, we provide it all.
To schedule an appointment at our Bergen County dentistry practice serving River Edge and Paramus, contact us online or call:
(201) 646-0800
"Thorough, Professional, and Kind" 5-Star Review
"Dr Malki and the team are amazing. I've never had such a comfortable and happy experience with any dentist office. Dr Malki is very thorough, professional, and kind. Explains everything and involves you in your care. I'd recommend Dr Malki to anyone. Id never go to anyone else!!!"
Juliya Palagina
Procedures We Offer
Get All the Care You Need In One Dental Office
At Malki Dental, our comprehensive dental office allows you to receive all of the care you need at a single convenient location. Our team serves patients of all ages in the greater Bergen County community including River Edge and Paramus. If you are searching for a new dentist for yourself or your family, you have found the right place. Our dentist, Dr. Malki, can provide dental care for every member of your family, from the youngest to the oldest, so that they can enjoy all the benefits of a beautiful smile.
To schedule an appointment at our Bergen County dental practice serving Paramus and River Edge, contact us online or call us at:
(201) 646-0800
"Amazing Work" 5-Star Google Reviews
Highly recommend. So sweet, understanding, fit me in right away for an emergency visit. Staff is amazing. So happy with everything.
View on GoogleAmazing work, I chipped my tooth so James did some work to fill it in. He did an amazing job, I don’t even see it when I look at myself in mirror, I’m back to normal!! Thank you so much!!!
View on GoogleMalki Dental offers comprehensive dental care performed by professionals with exceptional training using today's most sophisticated technology.
State-of-the-Art Treatments For Stunning Smiles
Dental Implants
Have you lost one or more teeth? Do you notice that your incomplete smile is making it difficult to chew, speak clearly, or feel confident when smiling? Dr. Malki can use implant-supported crowns, bridges, and dentures to not only make your smile look healthy and natural, but also restore function.
Implants replace tooth roots, allowing you to anchor your restorations directly to your jaw. This means you can chew any foods you want without having to worry that your denture or other restoration will shift out of place. Implants also provide the stimulation necessary to stop the bone atrophy that happens in the jaw following tooth loss. Many practices require patients to visit one or more specialists, but our dentist can perform every step of this procedure himself in his advanced dentistry office, which welcomes patients throughout the state of New Jersey.
Dental Crowns
Crowns have been a mainstay of dentistry for hundreds of years, but today's crowns are incredibly advanced. In fact, thanks to the advanced technology in use at Dr. Malki's office, you can arrive at our office with a compromised tooth and leave with a custom crown of exceptional quality.
These tooth-shaped caps cover compromised teeth following treatment for infection or trauma. They can also restore a dental implant to replace a single lost tooth. If you have lost a tooth, broken a tooth, or need a root canal procedure, you can count on us to provide a crown that not only restores function, but also helps your smile look great. This is especially beneficial for root canal patients who would otherwise need multiple appointments rather than just one office visit.
Porcelain Veneers
Many small dental imperfections can make a serious difference in the look of your smile, even if they are not posing a threat to your oral health. If small chips, cracks, or deep stains make you think twice about smiling, this cosmetic treatment can provide a fast and fantastic-looking solution.
These thin pieces of porcelain are crafted to cover the front surface of one or more teeth to suddenly make your entire smile look symmetrical and attractive. Our dentist can usually place veneers in just two appointments. If you are ready to stop worrying about the appearance of your teeth and start enjoying all the benefits of a beautiful smile, veneers can provide the solution you have searched for.
All-on-4 Dental Implants
Traditional dental implants have changed millions of lives, but they have very specific requirements. For many, traditional implants are not an immediate option due to bone recession in the jaw that would require a bone grafting procedure. All-on-4 is a solution made especially for those who need a full-arch denture and have suffered moderate bone recession.
This system uses four special implants that are placed at specific angles to maximize contact with your remaining bone tissue. Once the implants are in place, they can usually support a temporary denture immediately, so you can begin experiencing the benefits of a restored smile right away.
"If I could give more than 5 stars, I would." More 5 Star Reviews
I've been a patient of Dr. Malki's office for many years now and they're the only dentists that I trust. As with many people, I am scared of the dentist, but I always feel safe with Dr. Malki and his team. I like getting cleanings from Ana and the other hygienists are great too. Dr. Malki never pushes for unnecessary procedures. I think some dentists enjoy pointing out your flaws, but I'm just a human and I'm not perfect. Thank you Dr. Malki.
View on GoogleOver the last few years, I have had a few issues with one tooth that was badly broken when I was very young. After trying to temporarily fix the problem for months, Dr. Malki and his team decided on a different course of treatment to solve the issue for a longer period. It was their kindness and gentleness that helped make this process so easy. If I could give more than 5 stars, I would.
View on Google


